
What you need to know about... Actinic Keratosis
The most common skin lesion with malignant potential, it is important to be informed about actinic keratosis.
What is it: Put simply, the name Actinic Keratosis (AK) means thickened scaly growth (keratosis) caused by sunlight. Actinic keratosis (AK) has been named as the most common precancer that forms on skin damaged by prolonged exposure to ultraviolet rays from the sun and/or indoor tanning.*
Sometimes called: Solar keratosis
Who is at risk: Research has found that actinic keratosis most commonly affects those who are elderly, fair-skinned and sun-sensitive. Most frequently correlating with cumulative UV exposure, the frequency of actinic keratosis increases with each decade of life and is greater in residents of sunny countries closer to the equator and those with outdoor occupations. Actinic keratoses typically arise in areas such as the face, ears, bald scalp, forearms, and backs of the hands, however, they may occur in any area that is repeatedly exposed to the sun. The prevalence of actinic keratosis is much higher in individuals with Fitzpatrick type I or II skin, which burns and does not tan and reduced in persons with Fitzpatrick types III, IV, and V skin.* The prevalence of actinic keratosis is also higher in men than in women, which is thought to result from a greater likelihood that men have an outdoor occupation and therefore are more likely to have greater cumulative exposure to UV rays.
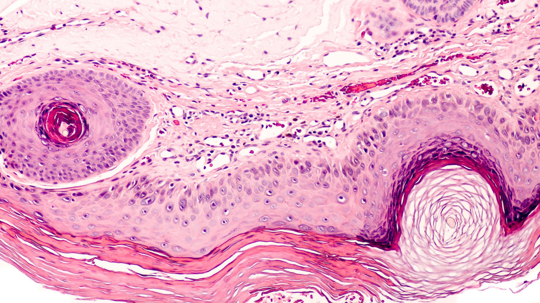
How does it develop: Actinic keratosis (AK) is a UV light–induced lesion of the skin which has the potential to progress to invasive squamous cell carcinoma. Lesions appear as rough, ‘sandpaper-like’ textured, small spots before enlarging over time and becoming red and scaly. Sometimes multiple lesions develop within a single area, producing confluent actinic keratosis over a large area.**
Risks / complications: As AKs are created from long-term UV exposure, if you already have an AK, you are likely to develop future actinic keratoses. This puts you at increased risk for skin cancer because AKs can develop into squamous cell carcinoma (SCC), a sometimes-invasive type of skin cancer.* According to research, among the percentage of actinic keratoses that develop into squamous cell carcinoma, the length of time for this to occur was approximately 2 years.
Diagnosis: Diagnosis can only be made following a skin biopsy. A biopsy is also needed to rule out invasive squamous cell carcinoma in the case of suspicious or more advanced lesions.
Prognosis: Most actinic keratoses do not develop into invasive squamous cell carcinoma; however, most invasive squamous cell carcinomas have evidence of a preexisting actinic keratosis.** Monitoring is essential as lesions may remain unchanged for many years, may suddenly regress, or may progress to invasive squamous cell carcinoma.****
What you can do: Protect skin from UV exposure by wearing a high factor, broad-spectrum SPF all year round. Limiting or decreasing sun exposure can also help to reduce your risk.
Sources
* skincancer.org
** Medscape